New Techniques in EUS: Real-Time Elastography, Contrast-Enhanced EUS, and Fusion Imaging
In this article, we’ll explore the latest advancements in Endoscopic Ultrasound (EUS) technology, notably real-time EUS elastography, contrast-enhanced EUS, and fusion EUS imaging. These developments represent significant strides in gastroenterology and oncology, providing enhanced diagnostic precision and improved patient outcomes.
Evolving Capabilities in Endoscopic Ultrasound (EUS)
Endoscopic Ultrasound (EUS) has witnessed remarkable advancements in recent years. The introduction of real-time EUS elastography, contrast-enhanced EUS, and fusion EUS imaging has transformed this diagnostic technique, making it more effective and reliable.
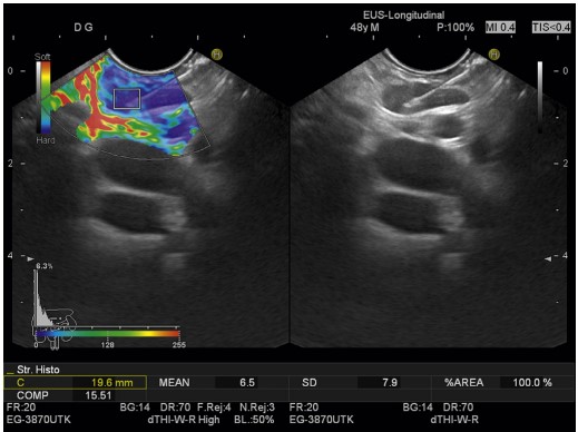
Real-Time EUS Elastography
Real-time EUS elastography offers qualitative and semiquantitative insights into tissue stiffness. This technology is particularly beneficial in distinguishing between benign and malignant tumors, providing a non-invasive approach to evaluating lesions.

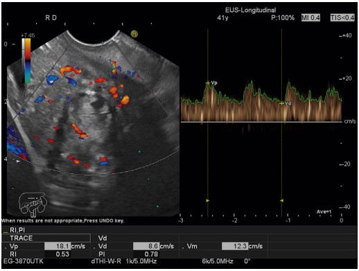
Contrast-Enhanced Harmonic EUS
Contrast-enhanced harmonic EUS utilizes specialized software with low mechanical index capabilities, established for differentiating focal pancreatic masses. This method enhances the visualization of vascular structures and blood flow, leading to more accurate diagnoses.

Fusion EUS Imaging
Fusion EUS imaging is an emerging technology that merges EUS with computed tomography/magnetic resonance imaging (CT/MRI). This approach aims to simplify the learning process of EUS, increase diagnostic confidence, and provide better orientation for targeting multiple lesions.
Impact and Future Prospects
These technological advancements in EUS significantly elevate diagnostic precision, offering deeper insights into gastrointestinal and pancreatic conditions. They enable clinicians to make more informed decisions, leading to better patient care.
- Enhanced Diagnostic Assurance: These innovations allow for more confident diagnoses, minimizing the need for repetitive testing.
- Improved Patient Outcomes: Accurate diagnostics lead to tailored treatments, enhancing patient recovery and health.
- Non-invasive Techniques: These modern methods provide less invasive alternatives to traditional diagnostics, reducing patient discomfort and recovery duration.
Forward-Looking
The realm of endoscopic ultrasound is rapidly evolving, with these new techniques spearheading innovation. As technology progresses, we anticipate the emergence of even more refined and efficacious diagnostic tools in gastroenterology and oncology.
Disclaimer: This content is for educational purposes only and is not a substitute for professional medical advice. Consult your healthcare provider for the latest information and personalized medical advice.
Contact Us for More Information
Explore Our Gastroenterology Services